

| 主訴 | 右上にインプラントをしてほしい |
|---|---|
| 患者情報 | 50代 女性 |
| 治療方法 | インプラント治療 |
| 治療期間 | 約8か月 |
| 治療費 | 800,000円(税込880,000円) |
| リスクと副作用 | ・インプラント埋入手術を行う ・定期的なメンテナンスのために通院が必要 ・禁煙が必要 |

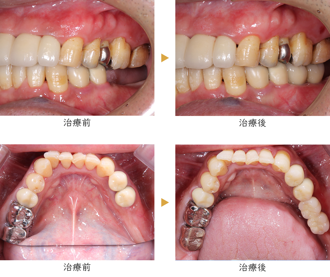
| 主訴 | 歯がないところにインプラントを入れたい |
|---|---|
| 患者情報 | 50代 男性 |
| 治療方法 | インプラント治療(2本) |
| 治療期間 | 約5か月 |
| 治療費 | 800,000円(税込880,000円) |
| リスクと副作用 | ・インプラント埋入手術を行う ・定期的なメンテナンスのために通院が必要 ・禁煙が必要 |

| 主訴 | 前歯の歯並びをきれいにしたい |
|---|---|
| 患者情報 | 22歳 女性 |
| 治療方法 | ワイヤー矯正 |
| 治療期間 | 約2年6か月 |
| 治療費 | 600,000円(税込660,000円) ※別途、検査料・調整料がかかります。 |
| リスクと副作用 | 虫歯、歯肉退縮・歯根吸収・歯髄壊死、口内炎 |

| 主訴 | 前歯が出ているのが気になる |
|---|---|
| 患者情報 | 23歳 女性 |
| 治療方法 | ワイヤー矯正 |
| 治療期間 | 約2年3か月 |
| 治療費 | 600,000円(税込660,000円) ※別途、検査料・調整料などがかかります。 |
| リスクと副作用 | 虫歯、歯肉退縮・歯根吸収・歯髄壊死、口内炎 |

| 主訴 | 前歯の歯並びを治したい |
|---|---|
| 患者情報 | 8歳 男の子 |
| 治療方法 | ワイヤー矯正 |
| 治療期間 | 約1年 |
| 治療費 | 300,000円(税込330,000円) ※別途、検査料・調整料がかかります。 |
| リスクと副作用 | 虫歯、歯肉退縮・歯根吸収・歯髄壊死、口内炎 |



